

1、判断题:
肺是气体交换的器官,由实质组织和间质组织组成,前者包括支气管树和肺泡;后者包括结缔组织、血管、淋巴管、淋巴结和神经等。
选项:
A: 正确
B: 错误
答案: 【 正确】
2、判断题:
呼吸道包括鼻、咽、喉、气管、支气管和肺内的各级支气管分支,是气体通行的管道。通常称鼻、咽、喉为上呼吸道,气管、支气管和肺内的各级支气管分为下呼吸道
选项:
A: 正确
B: 错误
答案: 【 正确】
3、判断题:
支气管囊肿是指先天性的呼吸系统发育异常所引起的一种囊性肿物。按发病部位分为肺内型、纵隔型和异位型
选项:
A: 正确
B: 错误
答案: 【 正确】
1、判断题:
医学影像诊断学是利用各种影像设备,使人体内部结构和器官成像,借助图像,来了解人体内部结构和器官的解剖和生理功能状况及病理改变,以达到诊断疾病目的的一门学科。
选项:
A: 正确
B: 错误
答案: 【 正确】
2、判断题:
影像诊断的第一步是要阅读检查申请单,了解影像学检查的目的
选项:
A: 正确
B: 错误
答案: 【 正确】
3、判断题:
影像诊断结果不需要结合病人的临床资料
选项:
A: 正确
B: 错误
答案: 【 错误】
1、判断题:
在CT检查过程中,我们不需要给患者做防护,一次检查不会对患者产生什么影响。
选项:
A: 正确
B: 错误
答案: 【 错误】
2、判断题:
在CT检查中我们只考虑图像质量,不用考虑患者的辐射剂量。
选项:
A: 正确
B: 错误
答案: 【 错误】
3、判断题:
在今后的临床工作中我们会遇到各种疾病和不同心理状态的患者,我们只进行影像检查,不需要和他们有过多的交流。
选项:
A: 正确
B: 错误
答案: 【 错误】
1、单选题:
强直性脊柱炎最先累及的部位是
选项:
A: 颈椎
B: 腰椎
C: 髋关节
D: 骶髂关节
答案: 【 骶髂关节】
2、单选题:
强直性脊柱炎的影像学诊断标准不包括哪项
选项:
A: 骶髂关节骨侵蚀
B: 骶髂关节骨质硬化
C: 骶髂关节变形
D: 竹节椎
答案: 【 骶髂关节变形】
3、单选题:
下图的X线平片考虑哪种常见疾病

选项:
A: 退行性骨关节病
B: 弥漫特发性骨质增生症(DISH)
C: 强直性脊柱炎
D: 脊柱结核
答案: 【 强直性脊柱炎】
1、单选题:
显示关节软骨的最佳影像学技术
选项:
A: 超声
B: X线平片
C: 造影
D: MRI
答案: 【 MRI】
2、单选题:
下述退行性骨关节病的X线表现不包括哪一项
选项:
A: 关节间隙狭窄
B: 软骨下骨质硬化
C: 骨赘形成
D: 骨质破坏
答案: 【 骨质破坏】
3、单选题:
图示膝关节MRI矢状位T1WI及T2WI,应考虑下列哪种疾病

选项:
A: 膝关节结核
B: 滑膜骨软骨瘤
C: 关节游离体
D: 膝关节肿瘤
答案: 【 关节游离体】
1、判断题:
消化系统由消化管和消化腺组成
选项:
A: 正确
B: 错误
答案: 【 正确】
2、判断题:
消化系统X线检查包括:X线平片、胃肠道造影和DSA。其中X线平片分辨力较低,多用于急腹症的筛查。胃肠道造影可用于评价胃肠道疾病的粘膜和功能异常。DSA是诊断血管病变的金标准,同时可以进行治疗
选项:
A: 正确
B: 错误
答案: 【 正确】
3、判断题:
消化系统CT/MRI阅片,实质脏器要观察形态、轮廓、密度/信号有无异常。空腔脏器要观察管腔充盈情况,管壁厚薄,管腔狭窄与否。还需要观察淋巴结,肠系膜,大网膜,血管等结构
选项:
A: 正确
B: 错误
答案: 【 正确】
1、单选题:
1.肝硬化食管静脉曲张X线钡餐检查的表现是:A、菊花样缺损B、皮革状C、蚯蚓状充盈缺损D、龛影
选项:
A: 典型的食管静脉曲张X线钡餐造影表现为蚯蚓状、串珠状充盈缺损影
B: 典型的食管静脉曲张X线钡餐造影表现为蚯蚓状、串珠状充盈缺损影
C: 典型的食管静脉曲张X线钡餐造影表现为蚯蚓状、串珠状充盈缺损影
D: 典型的食管静脉曲张X线钡餐造影表现为蚯蚓状、串珠状充盈缺损影
答案: 【 典型的食管静脉曲张X线钡餐造影表现为蚯蚓状、串珠状充盈缺损影】
2、单选题:
3.下图中肝硬化的CT表现描述错误的是:

A、肝内大小不等结节
B、肝脏表现凹凸不平
C、脾大
D、肝硬化增生结节增强后明显强化
选项:
A: 肝硬化再生结节大多增强动脉期无强化,强化形式和肝脏同步
B: 肝硬化再生结节大多增强动脉期无强化,强化形式和肝脏同步
C: 肝硬化再生结节大多增强动脉期无强化,强化形式和肝脏同步
D: 肝硬化再生结节大多增强动脉期无强化,强化形式和肝脏同步
答案: 【 肝硬化再生结节大多增强动脉期无强化,强化形式和肝脏同步】
3、多选题:
2.肝硬化的继发性改变较常见的是:A、脾大B、门脉主干扩张C、腹水D、侧支血管建立、扩张和扭曲
选项:
A: 肝硬化的继发性改变较常见的为脾大、腹水、门脉高压征、侧支循环建立等
B: 肝硬化的继发性改变较常见的为脾大、腹水、门脉高压征、侧支循环建立等
C: 肝硬化的继发性改变较常见的为脾大、腹水、门脉高压征、侧支循环建立等
D: 肝硬化的继发性改变较常见的为脾大、腹水、门脉高压征、侧支循环建立等
答案: 【 肝硬化的继发性改变较常见的为脾大、腹水、门脉高压征、侧支循环建立等;
肝硬化的继发性改变较常见的为脾大、腹水、门脉高压征、侧支循环建立等;
肝硬化的继发性改变较常见的为脾大、腹水、门脉高压征、侧支循环建立等;
肝硬化的继发性改变较常见的为脾大、腹水、门脉高压征、侧支循环建立等】
1、单选题:
1.如图所示,哪一项常作为CT诊断脂肪肝的标准:

A、肝脏密度增高
B、平扫肝内血管呈低密度
C、平扫肝CT值低于脾脏
D、增强扫描肝CT值高于脾
选项:
A: 正常肝脏平扫CT值稍高于脾,低于脾脏提示脂肪肝
B: 正常肝脏平扫CT值稍高于脾,低于脾脏提示脂肪肝
C: 正常肝脏平扫CT值稍高于脾,低于脾脏提示脂肪肝
D: 正常肝脏平扫CT值稍高于脾,低于脾脏提示脂肪肝
答案: 【 正常肝脏平扫CT值稍高于脾,低于脾脏提示脂肪肝】
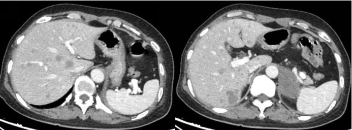
2、单选题:
2.如图,CT平扫肝脏密度明显降低时,肝内血管呈:

A、呈相对高密度而清楚显示
B、呈相对低密度
C、不显示
D、走行僵直
选项:
A: 重度脂肪肝时,CT平扫肝脏密度明显下降,肝内血管呈相对高密度
B: 重度脂肪肝时,CT平扫肝脏密度明显下降,肝内血管呈相对高密度
C: 重度脂肪肝时,CT平扫肝脏密度明显下降,肝内血管呈相对高密度
D: 重度脂肪肝时,CT平扫肝脏密度明显下降,肝内血管呈相对高密度
答案: 【 重度脂肪肝时,CT平扫肝脏密度明显下降,肝内血管呈相对高密度】
3、单选题:
3.下列哪一项不是脂肪肝的CT表现:A、肝脏密度降低,重症可呈负值B、肝脏密度低于脾脏C、肝内血管影模糊或相对高密度D、增强扫描可见血管变形或移位
选项:
A: 脂肪肝CT增强血管走行、分支、数目正常
B: 脂肪肝CT增强血管走行、分支、数目正常
C: 脂肪肝CT增强血管走行、分支、数目正常
D: 脂肪肝CT增强血管走行、分支、数目正常
答案: 【 脂肪肝CT增强血管走行、分支、数目正常】
1、单选题:
肝细胞肝癌的病理分型包括
选项:
A: 单结节型,多结节型,弥漫性
B: 中心型,周围型,肝门型
C: 巨块型,结节型,弥漫型
D: 内生型,外生型,浸润型
答案: 【 巨块型,结节型,弥漫型】
2、单选题:
以下不属于肝癌组织学分类的是
选项:
A: 肝细胞型
B: 胆管细胞型
C: 纤维板层型肝细胞癌
D: 鳞癌
答案: 【 鳞癌】
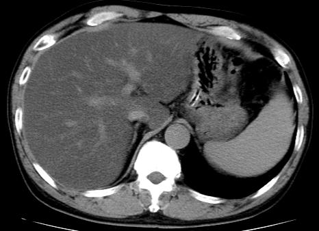
3、多选题:
患者既往肝硬化病史,体检发现肝右叶占位,进一步增强CT检查如图示。关于该患者肝右叶占位描述正确的是

选项:
A: 发病与乙型肝炎和肝硬化密切相关
B: 大部分患者AFP升高
C: 强化方式为“快进快出”
D: 有“假包膜”
答案: 【 发病与乙型肝炎和肝硬化密切相关;
大部分患者AFP升高;
强化方式为“快进快出”;
有“假包膜”】
1、单选题:
肝癌可经血行转移或淋巴系统转移,最常见的远处转移部位是
选项:
A: 肺
B: 肾
C: 脑
D: 肾上腺
答案: 【 肺】
2、单选题:
肝转移瘤T2WI呈“靶征”,其中心高信号的病理基础是
选项:
A: 脂肪变性
B: 水肿
C: 液化坏死
D: 亚急性出血
答案: 【 液化坏死】
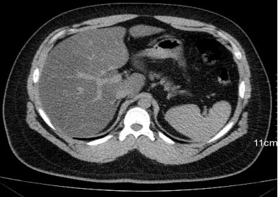
3、多选题:
患者,女性,58岁,既往肺癌病史,行增强CT检查,如图示。该患者转移部位有

选项:
A: 肝
B: 胆囊
C: 肾上腺
D: 肾
答案: 【 肝;
肾上腺】
1、单选题:
CT平扫显示肝右叶20;30圆形低密度肿块。增强扫描无强化,延迟呈等密度,考虑为
选项:
A: A、 肝癌
B: 肝囊肿
C: 肝转移瘤
D: 肝海绵状血管瘤
答案: 【 肝囊肿】
2、单选题:
下列关于胆囊肿的描述,那一项不正确
选项:
A: 肝囊肿通常是指先天性肝囊肿,病因不明.
B: 多囊肝为常染色体显性遗传,常合并多囊肾
C: 肝囊肿CT平扫多显示为类圆形低密度区,边缘清楚锐利
D: 肝囊肿CT增强病变明显强化
答案: 【 肝囊肿CT增强病变明显强化】
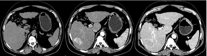
3、单选题:
患者男45岁,体检偶然发现肝脏肿块,行
备案号:冀ICP备20010840号 2020-2099辉辉网络科技 All Rights Reserved